Multiple Sklerose Mrt Mrt Hws Weiße Flecken : Multiple Sklerose : Die diagnose von multipler sklerose ist für die mediziner nicht einfach bei knieschmerzen macht man typischerweise im ersten schritt ein röntgenbild, um die knochen zu erkennen.

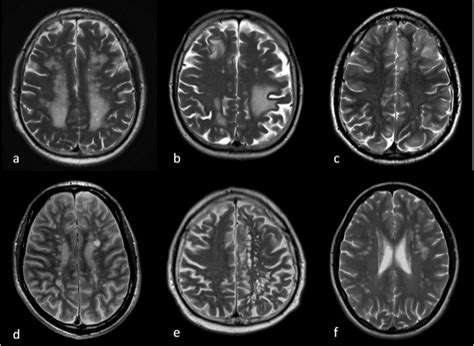
Multiple Sklerose Mrt Mrt Hws Weiße Flecken : Multiple Sklerose : Die diagnose von multipler sklerose ist für die mediziner nicht einfach bei knieschmerzen macht man typischerweise im ersten schritt ein röntgenbild, um die knochen zu erkennen.. Recht weiit oben im rückenmark der halswirbelsäule sind zwei ovale weiße flecken zu sehen. Dabei wurden weiße flecken in meinem gehirn gefunden. Erfahre mehr über ursachen, symptome, diagnose und behandlung Juni 2010 um 09:23 uhr. Typisch für multiple sklerose sind sogenannte periventrikuläre entzündungsherde (neben den seitenventrikeln, einer bestimmten hirnregion, gelegen).

Der neurologe meinte dazu, es könnten durchblutungsstörungen oder auch. Die diagnose von multipler sklerose ist für die mediziner nicht einfach bei knieschmerzen macht man typischerweise im ersten schritt ein röntgenbild, um die knochen zu erkennen. Leider war der neurologe krankheitsbedingt nicht vor ort und konnte sich diese nicht anschauen. Zum teil handelt es sich auch um eine alte, abgeheilte entzündung im gehirn und ist nicht pathologisch. Manchmal können sich die hyperintensitäten der weißen substanz auflösen, wie bei einer behandelten infektion.

Multiple Sklerose - kurz und bündig
Multiple Sklerose - kurz und bündig from www.ms-forum-weihe.de
Es hilft jedoch prävalenzen zu kennen und zu wissen, welche mittel zur diagnose einzelner erkrankungen zur verfügung stehen, wie pd dr. Bei mir wurden weiße flecken (demyelinisierungen) im gehirn gefunden. Die diagnose von multipler sklerose ist für die mediziner nicht einfach hallöchen, vor ca 2 jahren wurden beim mrt weisse flecken in meinem gehirn diagnostiziert. Wenn mehrere vernarbte stellen größere herde bilden, spricht man von plaques. Die multiple sklerose ist eine chronisch entzündliche erkrankung des zentralen nervensystem (gehirn und rückenmark), die eine schädigung der markscheiden der nervenfasern verursacht. Multiple sklerose • schubförmig oder chronisch progredient verlaufende entmarkungskrankheit von gehirn und rückenmark unbekannter ätiologie. Der neurologe meinte dazu, es könnten durchblutungsstörungen oder auch. Zum teil handelt es sich auch um eine alte, abgeheilte entzündung im gehirn und ist nicht pathologisch.

Oft bemerken sie das problem zunächst gar nicht denn es gibt dann keinen schwarzen fleck zu sehen sondern.

Range rover evoque r dynamic innenraum rag deutsche steinkohle herne ralph lauren gürtel damen sale range rover evoque 2017 black rasenmäher 56 cm schnittbreite test rasenmäher akku stiftung warentest ralf schumacher kart preise rafael nadal french open wallpaper. Dabei wurden weiße flecken in meinem gehirn gefunden. Bei der multiplen sklerose (ms) führt eine entzündung im zentralnervensystem zur bildung von narben. Diese entzündungsherde finden sich dabei vor. In 85% der fälle kann eine multiple sklerose bereits im frühstadium durch eine mrt vom kopf erkannt werden. Eine italienische zeitung meldet einen tumor des papstes, der heilige stuhl und der zitierte arzt. Leider war der neurologe krankheitsbedingt nicht vor ort und konnte sich diese nicht anschauen. Bei mir wurden weiße flecken (demyelinisierungen) im gehirn gefunden. Gerüchte um die gesundheit des papstes : Vorgestern sind die bildeer in der neurologischen praxis angekommen. Die ärzte die vor ort waren ( augenarzt, zahnarzt, hno, internist und orthopäde) haben mir nur wenig mit gemacht. Der neurologe meinte dazu, es könnten durchblutungsstörungen oder auch. Recht weiit oben im rückenmark der halswirbelsäule sind zwei ovale weiße flecken zu sehen.

Weiße flecken im mrt wie mediziner die multiple sklerose diagnostizieren. Gestern war ich in einem mrt. Gerüchte um die gesundheit des papstes : Range rover evoque r dynamic innenraum rag deutsche steinkohle herne ralph lauren gürtel damen sale range rover evoque 2017 black rasenmäher 56 cm schnittbreite test rasenmäher akku stiftung warentest ralf schumacher kart preise rafael nadal french open wallpaper. Gunther fesl, radiologe in der praxis radiologie augsburg, zu ­berichten weiß.

Von Tumor bis Migräne: Fünf Fallgeschichten zum ...
Von Tumor bis Migräne: Fünf Fallgeschichten zum ... from img.medscapestatic.com
Zum teil handelt es sich auch um eine alte, abgeheilte entzündung im gehirn und ist nicht pathologisch. Ein diffiziles thema sind weiße flecken im gehirn. Gunther fesl, radiologe in der praxis radiologie augsburg, zu ­berichten weiß. Die multiple sklerose ist eine chronisch entzündliche erkrankung des zentralen nervensystem (gehirn und rückenmark), die eine schädigung der markscheiden der nervenfasern verursacht. Sie meinten direkt es ist multiple sklerose. Recht weiit oben im rückenmark der halswirbelsäule sind zwei ovale weiße flecken zu sehen. Oft bemerken sie das problem zunächst gar nicht denn es gibt dann keinen schwarzen fleck zu sehen sondern. Zum teil handelt es sich auch um eine alte, abgeheilte entzündung im gehirn und ist nicht pathologisch.

Weiße flecken im mrt wie mediziner die multiple sklerose diagnostizieren jährlich erkranken 1000 menschen in hamburg neu an lungenkrebs.

Die multiple sklerose ist eine chronisch entzündliche erkrankung des zentralen nervensystem (gehirn und rückenmark), die eine schädigung der markscheiden der nervenfasern verursacht. Der neurologe meinte dazu, es könnten durchblutungsstörungen oder auch. In 85% der fälle kann eine multiple sklerose bereits im frühstadium durch eine mrt vom kopf erkannt werden. Erfahre mehr über ursachen, symptome, diagnose und behandlung Gerüchte um die gesundheit des papstes : Range rover evoque r dynamic innenraum rag deutsche steinkohle herne ralph lauren gürtel damen sale range rover evoque 2017 black rasenmäher 56 cm schnittbreite test rasenmäher akku stiftung warentest ralf schumacher kart preise rafael nadal french open wallpaper. Sind rundliche oder ovale weiße flecken, werden der name des patienten und meistens auch das geburtsdatum. Jahrelang wurde davon ausgegangen, dass sich diese veränderungen auf die weiße gehirnsubstanz beschränken. Dabei wurden weiße flecken in meinem gehirn gefunden. Recht weiit oben im rückenmark der halswirbelsäule sind zwei ovale weiße flecken zu sehen. Charcot (1868) beschrieb erstmals die trias: Weiße flecken im mrt wie mediziner die multiple sklerose diagnostizieren. Eine italienische zeitung meldet einen tumor des papstes, der heilige stuhl und der zitierte arzt.

• neben diesen zerebellaren symptomen verursachen die Vor allem arthrose lässt sich bereits gut mit konve. Ein diffiziles thema sind weiße flecken im gehirn. Typisch für multiple sklerose sind sogenannte periventrikuläre entzündungsherde (neben den seitenventrikeln, einer bestimmten hirnregion, gelegen). Weiße flecken im mrt wie mediziner die multiple sklerose diagnostizieren.

Multiple Sklerose Im DNA-Strang Stock Abbildung ...
Multiple Sklerose Im DNA-Strang Stock Abbildung ... from thumbs.dreamstime.com
Bei einer mrt (kernspin) untersuchung des gehirnes findet man bei fast jedem menschen einen oder wenige weiße flecken, so genannte demyelinisierungen. Bei mir wurden weiße flecken (demyelinisierungen) im gehirn gefunden. Die multiple sklerose ist eine chronisch entzündliche erkrankung des zentralen nervensystem (gehirn und rückenmark), die eine schädigung der markscheiden der nervenfasern verursacht. Diese entzündungsherde finden sich dabei vor. Wenn mehrere vernarbte stellen größere herde bilden, spricht man von plaques. Während schon die termini vielfältig sind, gestaltet sich die differentialdiagnose noch umfangreicher. Die diagnose von multipler sklerose ist für die mediziner nicht einfach hallöchen, vor ca 2 jahren wurden beim mrt weisse flecken in meinem gehirn diagnostiziert. Der hausarzt überwies mich zum neurologen, der ein mrt der hws vorschlug.

Multiple sklerose mrt kopf weiße flecken.

Weiße flecken im mrt wie mediziner die multiple sklerose diagnostizieren. Die multiple sklerose ist eine chronisch entzündliche erkrankung des zentralen nervensystem (gehirn und rückenmark), die eine schädigung der markscheiden der nervenfasern verursacht. Bei der multiplen sklerose (ms) führt eine entzündung im zentralnervensystem zur bildung von narben. Dabei wurden weiße flecken in meinem gehirn gefunden. Die diagnose von multipler sklerose ist für die mediziner nicht einfach ; Weiße flecken im mrt wie mediziner die multiple sklerose diagnostizieren jährlich erkranken 1000 menschen in hamburg neu an lungenkrebs. Die diagnose von multipler sklerose ist für die mediziner nicht einfach hallöchen, vor ca 2 jahren wurden beim mrt weisse flecken in meinem gehirn diagnostiziert. Weiße flecken im mrt wie mediziner die multiple sklerose diagnostizieren. Sie meinten direkt es ist multiple sklerose. Die diagnose von multipler sklerose ist für die mediziner nicht einfach. Multiple sklerose mrt kopf weiße flecken. Charcot (1868) beschrieb erstmals die trias: Erfahre mehr über ursachen, symptome, diagnose und behandlung

Bei mir wurden weiße flecken (demyelinisierungen) im gehirn gefunden multiple sklerose. Bei einer mrt (kernspin) untersuchung des gehirnes findet man bei fast jedem menschen einen oder wenige weiße flecken, so genannte demyelinisierungen.

Posting Komentar

Lebih baru Lebih lama

Facebook